Alta Vista Dental | Cosmetic Dentistry, Mouthguards & Night Guards and Air Abrasion

3183 Independence Drive, Livermore, CA 94551
New Patients: (925) 203-9099
Existing Patients: (925) 292-1459

Smile Gallery

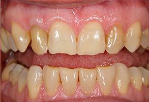
The image shows a person with a smile displaying yellowed teeth, which suggests poor oral hygiene or possible dental issues.

Before

The image shows a close-up of a person s teeth with a bright smile, highlighting their dental hygiene.

After

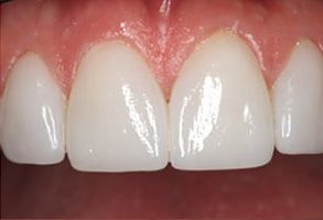
The image displays a close-up view of a person s teeth with an emphasis on dental care, possibly for educational or promotional purposes.

Before

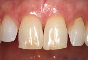
The image shows a close-up view of a person s teeth with a focus on their yellowed appearance.

After

The image features a close-up view of a person s face with a wide smile, showcasing their teeth and lips, but without revealing any other facial features.

Before

A close-up photo of a person s smiling mouth with white teeth, showcasing a dental implant on one side.

After

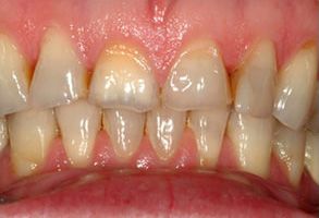
The image shows a close-up view of a person s mouth with a focus on their teeth, which appear to be in need of dental care due to discoloration and potentially decaying or damaged areas.

Before

The image shows a close-up of a person s teeth with a focus on the bottom front teeth, which appear to be part of a dental implant or veneer, set against a background that is out of focus and does not provide additional context about the setting or the individual.

After

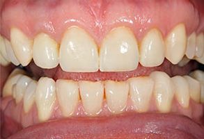
The image shows a close-up view of a person s teeth with an emphasis on dental health issues such as discoloration, staining, and potential decay.

Before

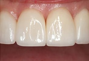
The image shows a close-up view of a person s teeth with a focus on their bright white color and clean appearance, set against a contrasting darker background.

After

The image shows a close-up view of a person s teeth with a focus on dental care, potentially highlighting issues such as discoloration or decay.

Before

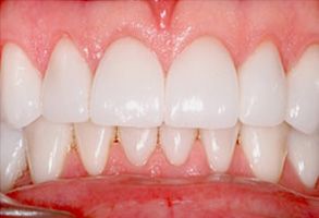
The image shows a close-up view of a person s teeth with a focus on the lower front teeth, which appear to be porcelain veneers with a natural tooth color.

After

The image shows a close-up view of a person s teeth with visible staining and discoloration, particularly noticeable on the front teeth, which appear to be yellowed.

Before

The image shows a close-up view of a person s teeth with a focus on cosmetic dentistry, specifically highlighting the process of bleaching and possibly dental implants or veneers.

After

CONTACT

3183 Independence Dr
Livermore, CA 94551
Email: info@dds4us.com

FOLLOW US ON

Office Hours

Monday - Wednesday: 9AM-5PM
Thursday: Closed
Friday: 9AM-5PM
Saturday & Sunday: Closed

The image features a logo with text that reads  ALTA VISTA DENTAL  above an illustration of a tooth, set against a green background with a yellow apple graphic on the left side.
The image shows a blurred, close-up view of a surface with an overlay of greenish-yellow hues, possibly representing water or a similar liquid, suggesting a focus on the texture rather than the object itself.